Ortodoncia

En SAG Dental Revolution transformamos sonrisas con tecnología de escaneo 3D, biomecánica de precisión y los sistemas más avanzados. Desde brackets estéticos hasta expansión maxilar asistida por microtornillos (MARPE), cada tratamiento es único y personalizado.

Tratamientos de última generación
MARPE - Expansión maxilar
🌙 MARPE · Expansión maxilar
Brackets autoligables
⚡ Autoligado pasivo
Brackets estéticos zafiro
💎 Brackets de zafiro
Ortodoncia invisible alineadores
🦷 Alineadores transparentes
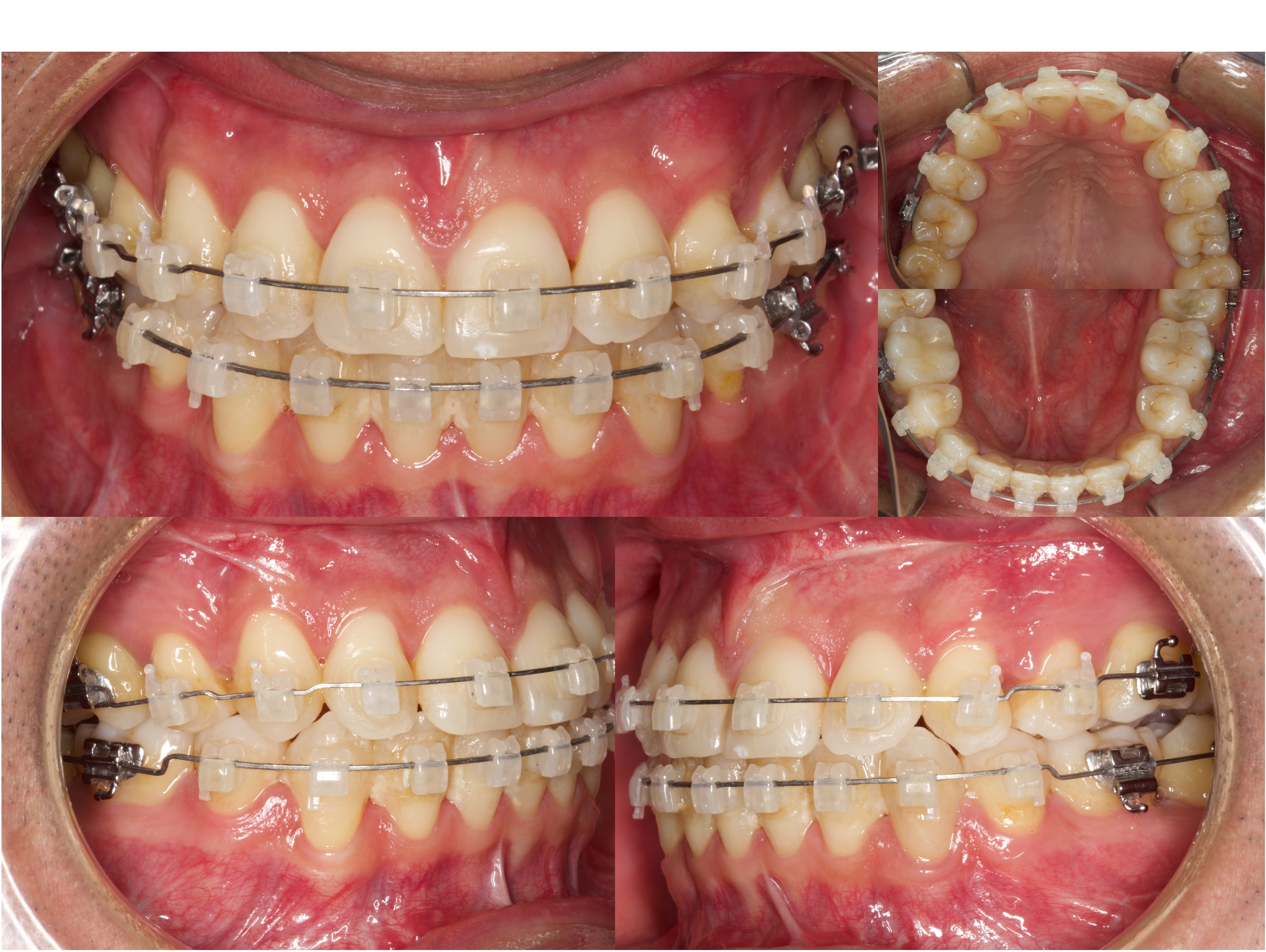
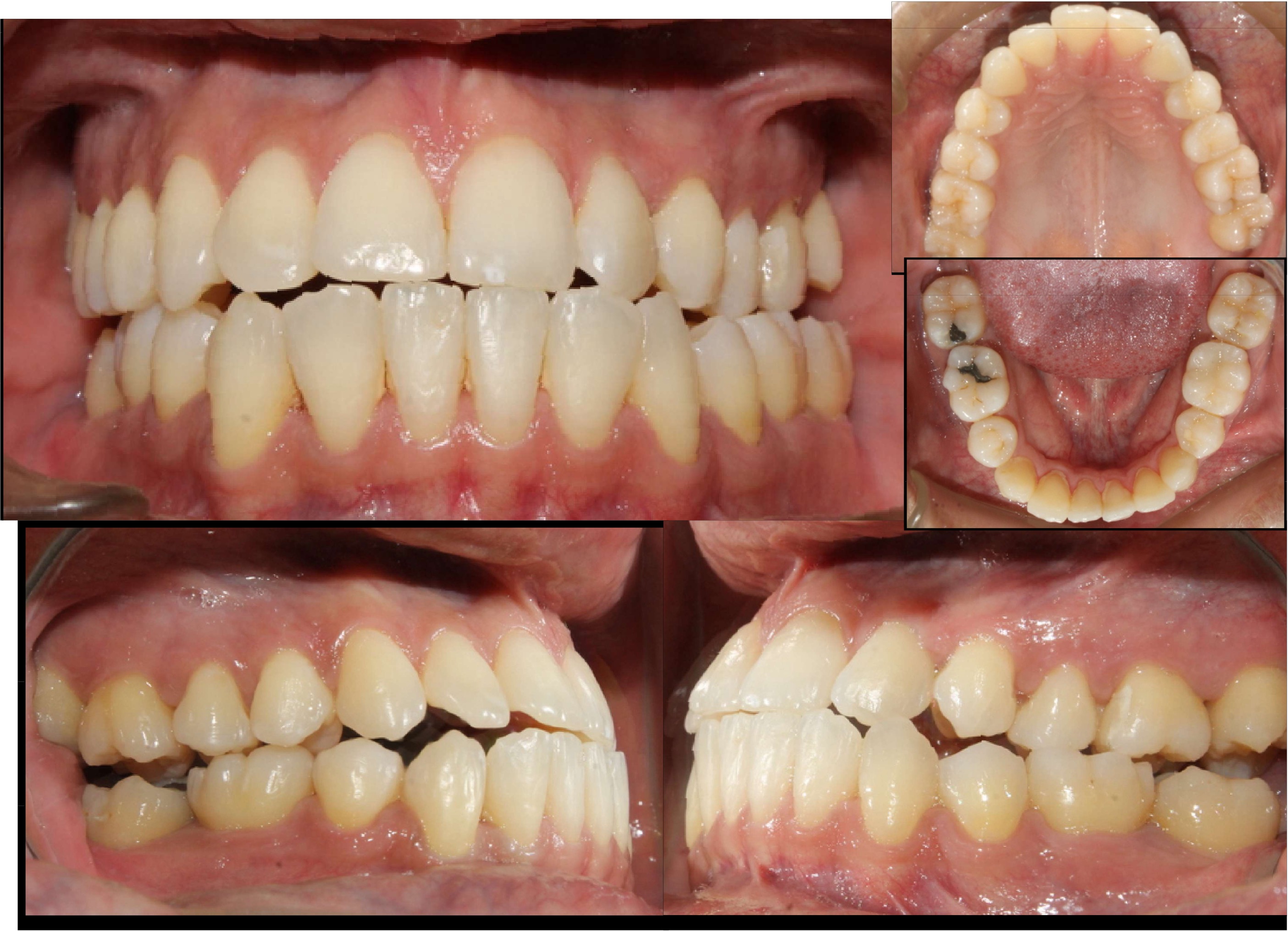
✨ Caso Clínico · Transformación real ✨
Antes del tratamiento ortodóncico
ANTES
Después del tratamiento ortodóncico
DESPUÉS
Resultado clínico con ortodoncia autoligable + alineadores complementarios · Sonrisa armónica y funcional
MARPE · Expansión maxilar sin cirugía
MARPE: técnica de expansión esquelética no quirúrgica · Mejora respiratoria y sonrisa más ancha
Volver al inicio

Ortodoncia digital · SAG Dental Revolution Planificación 3D y seguimiento avanzado